nov 24, 2022 - Tiempo de lectura: 7-9 minutos

Los departamentos de radiología siguen enfrentándose a los retos de aumentar el volumen de pacientes y garantizar la consistencia de la calidad de las imágenes, al tiempo que mejoran la eficiencia operativa. Dado que la tomografía computarizada (TC) es una de las modalidades de imagen más utilizadas, los departamentos de radiología tienen mucho que ganar con las soluciones basadas en la IA que ayudan a agilizar los flujos de trabajo de la TC y a maximizar la calidad de las imágenes.
Esto empieza por colocar al paciente en la posición correcta para el examen. En la TC, el mal posicionamiento del paciente es un problema común, que puede dar lugar a un aumento de la dosis de radiación para el paciente o al ruido de la imagen [1]. La tecnología de cámara con IA puede detectar automáticamente puntos de referencia anatómicos en un paciente para permitir un posicionamiento rápido, preciso y consistente del paciente. Además, la reconstrucción de imágenes con IA puede ayudar a reducir la dosis de radiación y mejorar la calidad de las imágenes de TC, lo que favorece la confianza en el diagnóstico.

La resonancia magnética (RM) es otra modalidad de imagen que desempeña un papel cada vez más importante en el diagnóstico de precisión de las enfermedades. El creciente uso de la RM aumenta la presión para explorar de forma eficiente a más pacientes y acortar el camino desde la exploración inicial hasta el diagnóstico final. Al mismo tiempo, los departamentos de RM buscan formas de mejorar la satisfacción de los pacientes y los médicos que los derivan.
La reconstrucción de imágenes basada en la inteligencia artificial puede acelerar los exámenes de RM para aumentar la productividad del departamento y reducir el coste por examen, al tiempo que contribuye a la confianza en el diagnóstico con imágenes de alta resolución. Además, la tecnología aumenta la accesibilidad de la RM para los pacientes estresados, con ansiedad o con dolor. Como acorta los exámenes y proporciona exploraciones a la primera, independientemente del estado del paciente, éste pasa menos tiempo en el escáner, lo que mejora su experiencia.

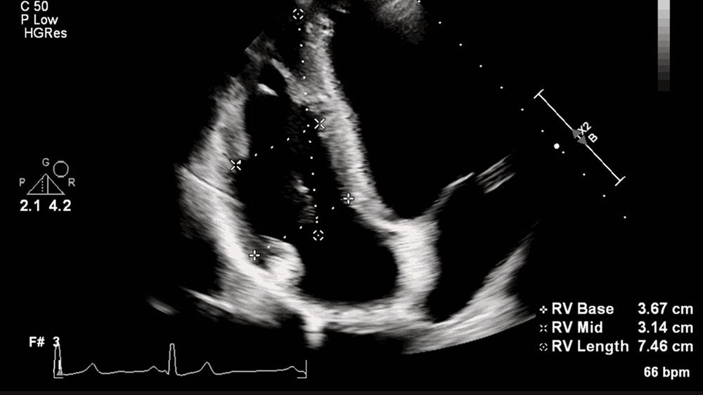
En la atención cardiaca, la ecografía se ha convertido en una herramienta indispensable para ayudar a visualizar y evaluar la función cardiaca del paciente. De hecho, en la actualidad suele ser la primera modalidad de imagen utilizada para diagnosticar a los pacientes [2]. Sin embargo, el reto de la ecografía es que depende en gran medida de la persona que maneja el sistema. Ciertas mediciones, necesarias para cada examen ecográfico, pueden requerir mucho tiempo y presentan una gran variabilidad entre usuarios y dentro de ellos.
Con la IA, podemos eliminar parte de ese trabajo manual y repetitivo, al igual que en algunos de los otros ejemplos de IA en la sanidad de este resumen. Las mediciones automáticas basadas en la IA pueden ofrecer una cuantificación de ecos rápida y reproducible, mejorando la experiencia tanto del paciente como del personal. Los profesionales sanitarios pueden aceptar o modificar las mediciones en función de sus propias evaluaciones clínicas, lo que les proporciona una poderosa herramienta para mejorar su experiencia mientras mantienen el control de la toma de decisiones de diagnóstico.

Del mismo modo, la IA puede ayudar en la segmentación y cuantificación de imágenes en radiología, permitiendo así a los radiólogos centrarse en la interpretación de imágenes de mayor grado. La IA también puede actuar como un segundo par de ojos, sirviendo de complemento a la toma de decisiones del radiólogo al indicarle áreas de interés o hallazgos incidentales que puede haber pasado por alto.
Por ejemplo, se ha demostrado que los algoritmos de IA que recorren las imágenes de RM del cerebro en busca de cambios neurológicos sutiles a lo largo del tiempo mejoran la precisión del diagnóstico en pacientes con esclerosis múltiple en un 44%, al tiempo que reducen el tiempo de lectura [3]. Del mismo modo, la detección de nódulos pulmonares basada en la IA puede realizar la búsqueda de nódulos un 26% más rápido, detectando el 29% de los nódulos que antes se pasaban por alto en comparación con la inspección manual [4]. Para los radiólogos que tienen que interpretar más imágenes que nunca y que están presionados por el tiempo, esta ayuda basada en la IA puede suponer una diferencia significativa, al tiempo que beneficia al paciente.

Más allá del análisis de fuentes individuales de datos, también hay ejemplos de IA en la atención sanitaria que demuestran que puede ayudar a conectar datos de pacientes previamente desconectados y dispares, proporcionando nuevas perspectivas que ayudan a los profesionales de la salud en su toma de decisiones.
En la atención del cáncer, por ejemplo, la IA puede ayudar a integrar la información de distintos ámbitos clínicos, como la radiología, la patología, los sistemas de HCE y la genómica, proporcionando una visión clara e intuitiva del estado de la enfermedad del paciente. Esto puede ayudar a las juntas tumorales multidisciplinarias a tomar decisiones de tratamiento oportunas e informadas, para dar a cada paciente la mejor oportunidad de un resultado de tratamiento positivo.
En el futuro, la integración inteligente de los datos podría aportar más información sobre el pronóstico de un paciente, apoyando la selección de la mejor vía de atención para ese paciente en particular, basada en un análisis de los resultados del tratamiento de pacientes similares.

Los médicos intervencionistas, que realizan procedimientos mínimamente invasivos en pacientes con enfermedades cardíacas y otras afecciones, son otro grupo que se beneficiará de la automatización del flujo de trabajo y el apoyo a las decisiones clínicas basados en la IA. Por ejemplo, en la atención de los accidentes cerebrovasculares, la IA basada en la nube puede ayudar a analizar las imágenes de TC para detectar automáticamente la oclusión de grandes vasos -una de las principales causas de los accidentes cerebrovasculares-, así como su ubicación. A continuación, el software comparte este análisis con los médicos del centro primario de ictus y del centro de intervención en el que finalmente se trata al paciente. Del mismo modo, la IA basada en la nube puede ayudar a planificar y guiar la cirugía endovascular, ayudando a los médicos intervencionistas a operar con mayor precisión y eficiencia.

En los entornos de agudos y post-agudos, hay ejemplos similares de cómo la IA en la asistencia sanitaria puede mejorar la experiencia humana. Casi uno de cada cinco pacientes de las áreas médico-quirúrgicas de los hospitales sufrirá efectos adversos graves en el postoperatorio [5]. Los controles manuales de las constantes vitales pueden llevar mucho tiempo y están sujetos a errores humanos.
Al monitorizar automáticamente las constantes vitales y calcular las puntuaciones de alerta temprana que señalan un posible deterioro del paciente, las herramientas basadas en la IA pueden ayudar al personal de enfermería y a los equipos asistenciales a identificar los primeros signos de eventos como la insuficiencia respiratoria o la parada cardíaca, lo que les permite responder rápidamente. De este modo, un hospital consiguió reducir los acontecimientos adversos graves en la sala general en un 35% y las paradas cardíacas en más de un 86% [6].

Además de aumentar las habilidades de los médicos y el personal, la IA también puede ayudar a mejorar la continuidad de la atención al predecir cuándo los equipos médicos necesitan mantenimiento.
Por ejemplo, a través de la teledetección, podemos supervisar y analizar más de 500 parámetros en una máquina de resonancia magnética, lo que nos permite identificar de forma proactiva cuándo ciertas piezas de hardware pueden necesitar mantenimiento o sustitución. De este modo, el 30% de los casos de mantenimiento pueden resolverse antes de que se produzca un tiempo de inactividad, lo que evita interrupciones evitables de la práctica clínica y retrasos innecesarios de los pacientes [7]. En el futuro, disponer de un gemelo digital completo, o una representación virtual de toda una flota de equipos de imagen, podría permitir un mantenimiento predictivo aún más exhaustivo y una optimización operativa continua.

A nivel empresarial, la IA puede ayudar a gestionar y optimizar la utilización de los equipos, las camas y el personal proporcionando información predictiva. Dado que los recursos de los hospitales son cada vez más escasos, la capacidad de anticiparse y adaptarse a circunstancias que cambian rápidamente se ha vuelto más esencial que nunca.
Gracias al poder de la IA, podemos extraer patrones relevantes de grandes cantidades de datos hospitalarios históricos y en tiempo real para predecir y gestionar el flujo de pacientes. Esto genera información procesable que puede ayudar a responder a preguntas como: ¿qué paciente debe recibir primero una cama de cuidados intensivos? O bien: ¿qué paciente está listo para ser trasladado a una unidad de cuidados intensivos? Con esta información al alcance de la mano, los profesionales sanitarios pueden aprovechar al máximo sus valiosos recursos y gestionar las transiciones asistenciales con mayor eficacia, desde el ingreso hasta el alta, garantizando que cada paciente reciba la atención adecuada en el lugar adecuado y en el momento oportuno.

A medida que la asistencia sanitaria se traslada cada vez más del hospital al hogar y a la comunidad, el poder de la IA no se limita a las paredes del hospital. También puede aplicarse a los datos que se recogen cómodamente en casa o en cualquier otro lugar, a través de la tecnología portátil.
Por ejemplo, en el ámbito de la atención cardiaca, la IA basada en la nube puede ayudar a detectar rápidamente la fibrilación auricular o las alteraciones del ritmo cardiaco, basándose en un análisis de las grabaciones del electrocardiograma (ECG) a distancia. La fibrilación auricular afecta a millones de personas cada año. Sin embargo, a menudo no se reconoce ni se trata. Al señalar las lecturas que pueden requerir una atención más urgente, los médicos tienen la posibilidad de prestar una atención cardiaca más rápida y eficaz.
Con el análisis asistido por la IA, la atención cardiaca podría llegar a ser más predictiva y proactiva. Un estudio reciente subraya este potencial, mostrando cómo un modelo de aprendizaje profundo puede predecir el riesgo a corto plazo de fibrilación auricular basándose en registros Holter de 24 horas [8]. Es un ejemplo más de cómo la IA puede ayudar a mejorar la vida de los pacientes, consiguiendo la atención que necesitan antes.

Descargue nuestro documento expositivo “Cómo la IA puede mejorar la experiencia humana en la asistencia sanitaria”
[1] Habibzadeh MA, Ay MR, Asl AR, Ghadiri H, Zaidi H. Impact of miscentering on patient dose and image noise in x-ray CT imaging: phantom and clinical studies. Phys Med. 2012;28(3):191 199. https://pubmed.ncbi.nlm.nih.gov/21741870/ [2] A partir de conversaciones con usuarios de la tecnología de ultrasonidos de Philips. Informes de la Sociedad Americana de Ecografía, EACVI y Klein. [3] Basado en (a) una publicación de European Radiology 2019 (Universidad de Colonia) - Follow-up MRI in multiple sclerosis patients: automated co-registration and lesion color-coding improves diagnostic accuracy and reduces reading time; y (b) ISP 9 Philips whitepaper: La utilidad clínica de una novedosa aplicación de imágenes para la obtención de imágenes cerebrales en serie: MR LoBI. [4] Lo, SB, Freedman, MT, Gillis, LB, White, CS, and Mun, SK. American Journal of Roentgenology 2018 210:3, 480-488. https://www.ajronline.org/doi/full/10.2214/AJR.17.18718 [5] Bellomo R, Goldsmith D, Russell S, Uchino S. Eventos adversos graves postoperatorios en un hospital de enseñanza: un estudio prospectivo. study. Med J Aust. 2002: 176:216-218. [6] https://www.philips.com/a-w/about/news/archive/case-studies/20180315-early-warning-score-reduces-incidence-of-serious-events-in-general-ward.html [Los resultados son específicos de la institución en la que se han obtenido y pueden no reflejar los resultados que se pueden obtener en otras instituciones]. [7] El futuro de la sanidad es inteligente y está conectado: una visión de la transformación digital. https://www.philips.com/a-w/about/news/archive/blogs/innovation-matters/2021/20210614-thefuture-of-healthcare-is-smart-and-connected-a-vision-for-digitaltransformation.html