Visualización avanzada e IA

Mejorar los flujos de trabajo de imagenología empresarial mientras se incrementa la confianza diagnóstica

Cuando la pericia se integra con tecnología avanzada, se alcanzan resultados sobresalientes. Nuestra visualización avanzada y los conocimientos automatizados por IA permiten extraer información crucial para los médicos clínicos, lo que fomenta la colaboración entre ellos y los departamentos en toda la institución.

Sistemas informáticos de diagnóstico

Vea claramente, diagnostique de manera óptima.

Acelerar el acceso del paciente al tratamiento correcto implica disponer de la información diagnóstica adecuada en el momento oportuno para tomar decisiones terapéuticas seguras. Para enfrentar el desbordante volumen de datos y la falta de personal, Philips apoya a los departamentos de radiología habilitando a radiólogos y médicos clínicos para que utilicen de manera eficiente la inteligencia artificial en su práctica clínica diaria.

 

El espacio de trabajo de visualización avanzada de Philips ofrece a los profesionales de radiología aplicaciones clínicas de visualización avanzada y sofisticada, para mejorar así su entorno de trabajo.

Optimice con inteligencia artificial

Fortalezca su departamento de radiología con inteligencia artificial

Escuche al Dr. M.A. van Buchem, presidente del departamento de radiología del Centro Médico Universitario de Leiden (LUMC), quien comparte sus perspectivas sobre la implementación de la inteligencia artificial (IA) en el ámbito de la salud para abordar los desafíos de los radiólogos. Philips AI Manager permite a sus radiólogos aprovechar aplicaciones de IA para realizar evaluaciones más completas y obtener profundos conocimientos clínicos sobre su flujo de trabajo radiológico.

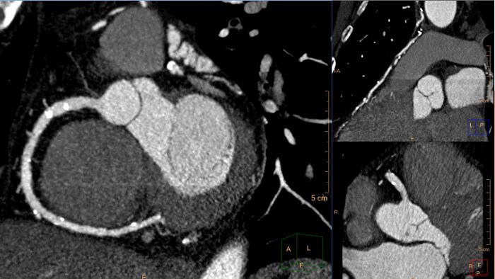
Experiencia de interpretación de RM

Mejore su experiencia de interpretación de RM cardíaca

La suite de RM cardíaca estrena una nueva apariencia galardonada³, que permite una revisión y análisis sin interrupciones de estudios de RM cardíaca en un entorno completo. Experiencia de lectura mejorada con visualización multimodal en 2D y 3D, comparación con versiones anteriores y diseños flexibles y personalizados. Entorno muy intuitivo que permite a los usuarios completar la mayoría de las tareas con una formación mínima⁴.

Profesional consultando una pantalla

Inteligente, automatizada y conectada

Nuestra plataforma de Espacio de trabajo de visualización avanzada, neutral en cuanto a proveedores, con algoritmos y flujos de trabajo habilitados por IA, ofrece una integración perfecta a través de modalidades, sistemas de datos de imágenes y conjuntos de datos de pacientes con una sola licencia, versión de software y punto de servicio. Una suite integral de soluciones de visualización avanzada diseñada para apoyar a los equipos de atención y adaptada para satisfacer las necesidades de cualquier red hospitalaria, desde una única estación de trabajo hasta una solución empresarial.

Profesional consultando un monitor

Flujos de trabajo eficientes y adaptables para el análisis de imágenes mamarias

Philips DynaCAD Breast es un sistema de análisis de imágenes de RM mamaria de múltiples proveedores, diseñado específicamente para ayudarle a procesar y mostrar grandes volúmenes de imágenes clínicas y datos. Con su avanzado motor de postprocesamiento, DynaCAD Breast respalda flujos de trabajo eficientes y focalizados automatizando tareas rutinarias y proporcionándole protocolos personalizados listos para su lectura.

Funciones clave

  • Diagnóstico integrado

    Descubra cómo el diagnóstico integrado de Philips facilita el acceso a información crucial en toda la organización, lo que promueve la colaboración y le ayuda a acelerar el diagnóstico.

  • Informática de la salud

    Descubra los principales desafíos en la informática de la salud y la TI sanitaria, además explore nuevas herramientas y soluciones. Colaboramos con usted para proporcionar soluciones que ayuden a transformar su sistema de salud.

Siempre estamos interesados en relacionarnos con usted

Háganos saber cómo podemos ayudar

1
Seleccione su área de interés
2
Detalles de contacto

Notas al pie

Es posible que el producto no esté disponible en todas las regiones. Le recomendamos consultar con su representante local de Philips para confirmar la aplicabilidad de esta solución en su área y los requisitos de idioma.

You are about to visit a Philips global content page

Continue

You are about to visit a Philips global content page

Continue

Nuestro sitio se puede visualizar mejor con la última versión de Microsoft Edge, Google Chrome o Firefox.